自闭症孩子的大脑跟普通孩子是否一样,他们为什么会出现特别的行为?这是很多研究者和家长都关心的问题。
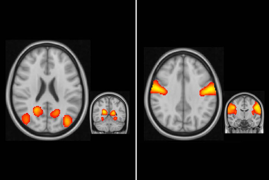
最新研究显示,自闭症孩子的大脑感觉区域连接过于紧密,这种连接阻碍了他们大脑的发育。

Sensory networks overconnected early in autism (ANGIE VOYLES ASKHAM)
自闭症孩子的大脑跟普通孩子是否一样,他们为什么会出现特别的行为?这是很多研究者和家长都关心的问题。
最新研究显示,自闭症孩子的大脑感觉区域连接过于紧密,这种连接阻碍了他们大脑的发育。
